

نشر مركز «فيكتور» الحكومي الروسي لعلوم الفيروسات والتكنولوجيا الحيوية، صورًا جديدة لسلالة فيروس أوميكرون، وفقًا لما أكدته الهيئة الفيدرالية لحماية المستهلك «روس بوتريبنادزور».
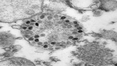
كما أضافت الهيئة، في بيان نشرته عبر موقعها: أنه تم في مختبرات مركز «فيكتور» نقل عدوى متحور «أوميكرون» لفيروس كورونا إلى مزرعة خلايا Vero E6، لدراسة خصائصه المورفولوجيا، أي دراسة الشكل والحجم ووجود البنيات على السطح وما إلى ذلك.
وأوضح البيان، أنه تم في اليوم السادس بعد نقل عدوى الفيروس، فصل الخلايا عن سطح القوارير الخاصة التي نمت فيها.
وقال البيان: «بعد تحضير العينة، تم وضع الخلايا في خليط كيميائي، وتم عمل مقاطع رقيقة جدًا من هذه الكتل لكي يصبح من الممكن مشاهدتها بالمجهر الإلكتروني».
اقرأ أيضًا: