منوعات

نجاح عملية تخصصية متقدمة في جراحة العظام بمستشفى الملك خالد بالخرج

أُجريت لفتاة سعودية كانت تُعاني من اعوجاج خارجي

رشيد السويلم

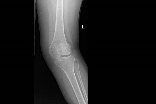
نجح فريق طبي في قسم جراحة العظام والتخدير والعمليات بمستشفى الملك خالد ومركز الأمير سلطان للخدمات الصحية بالخرج، بقيادة الاستشاري خالد سليمان، في إنهاء معاناة فتاة سعودية تعاني من تشوه في الركبة اليسرى واعوجاج خارجي (ركبة فحجاء) وعرج عند المشي.

وتم استقبال المريضة في عيادة العظام، وبعد عمل الأشعة المطلوبة والفحوصات اللازمة، وُضعت خطة علاجية من قبل الفريق الطبي المعالج وأجريت العملية للمريضة باستخدام تخدير نخاعي (نصفي)، وتم إصلاح اعوجاج عظمة الفخذ وعظمة الساق والتشوه بالركبة اليسرى، وتكللت العملية بالنجاح.

يذكر أن هذه العملية تعتبر من العمليات التخصصية المتقدمة في جراحة العظام.

اقرأ أيضًا:

إجراء أكثر من 8 آلاف عملية جراحية ناجحة بمستشفى الملك خالد بنجران

460 عملية ناجحة لتكميم وتحويل مسار بمستشفى الملك خالد بحفر الباطن

مرر للأسفل للمزيد