منوعات

دراسة: النوم جيدًا يقي من الخرف ويحمي الجسم من البروتينات السامة

متابعة تدفُّق الدم للدماغ تؤكِّد النتائج

فريق التحرير

توصَّلت دراسة حديثة أجرها علماء بجامعة بوسطن الأمريكية، إلى أنَّ النوم الجيد ليلًا يقِي من الخرف، ويضمن تجنُّب التدهور المعرفي؛ وذلك بغسل الجسم من البروتينات السامة التي تؤثر سلبًا على الدماغ.

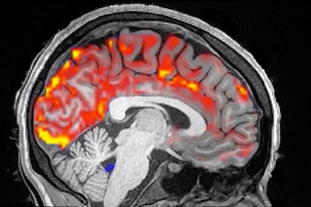
ودرس الفريق البحثي القائم على الدراسة، الحالة الصحية لـ 13 شابًا بتتبع الوضع الفسيولوجي لأدمغتهم أثناء النوم، وتبيَّن أنَّ السائل النخاعي الموجود في العمود الفقري يندفع إلى المخ كل 20 ثانية؛ بطريقةٍ تؤدِّي إلى تخليص الجسم من المواد السامة، مما يضمن للأشخاص الذين يحصلون على ساعات نوم كافية، حماية أنفسهم من التدهور المعرفي. وفقًا لصحيفة «ديلي ميل» البريطانية.

وقال الباحث المشارك في الدراسة البروفيسور لورا لويس: «إنَّ للنوم تأثيرًا كبيرًا على الدماغ أظهره تتبع حالة الدماغ أثناء النوم، وأوضحت الإشارات الكهربية المعروفة باسم (موجات دلتا) تدفق الدم بطريقة أكدت حماية الدماغ من أخطار السموم».

وأكَّد البحث الذي نُشِر في مجلة ساينس العلمية، أنَّ كتل البروتين الموجودة في المخ، تلعب دورًا في حدوث أسباب الخرف، حيث تشير الأبحاث السابقة إلى أنَّ تدفق السائل النخاعي ونشاط الموجات البطيئة يساعدان في التخلص من البروتينات السامة التي تضعف الذاكرة.  

مرر للأسفل للمزيد