

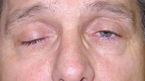
الجفون لدى مصابي الوهن العضلي
كشف الدكتور إسماعيل البابللي، استشاري المخ والأعصاب ورئيس قسم المخ والأعصاب بمستشفى الحبيب سابقًا، عن إمكانية تحسين حالة تدلي الجفون، الناجمة عن الإصابة بالوهن العضلي.
وقال «البابللي» خلال تغريدة عبر حسابه الشخصي بموقع «تويتر»: «في مرضى الوهن العضلي يتحسن تدلي الجفون، عادة بعد وضع الثلج على الجفن العلوي».
وتابع: «تبلغ حساسية هذا الاختبار نحو 80%. لكن لا توجد دراسات كافية تحديد القيمة التنبؤية لهذا الاختبار».
ونوه «البابللي» إلى أن «هذا الاختبار ليس تشخيصيًا. لكن يمكن أن يساعد حين تكون هناك شكوك حول الإصابة بالوهن العضلي».
مرض باركنسون
وعلى صعيد آخر، سلط «البابللي» الضوء على مرض باركنسون، موضحًا أعراضه الحركية وغير الحركية.
وقال «البابللي»، خلال سلسلة تغريدات عبر حسابه الشخصي بـ «تويتر»: «غالبًا ما يتسبب مرض باركنسون في البداية في ظهور أعراض خفيفة فقط. ومع تقدم المرض، يمكن أن تؤثر الأعراض على قدرة الشخص على العمل أو القيام بالأنشطة اليومية. وعندما يشتد المرض يحتاج المصابون أحيانًا إلى المساعدة في رعاية أنفسهم».
وغيّر «البابللي» فيما بعد دفة حديثه إلى الأعراض الحركية للمرض وجاءت كالآتي:
. الرعاش.
. بطء الحركة.
. تصلب الأطراف وجذع الجسم.
. فقدان التوازن وصعوبة المشي.
ونوه «البابللي» بوجود أعراض غير حركية لمرض باركنسون، تتمثل في الآتي:
. اختلال الإدراك والذاكرة والتركيز.
. في بعض الأحيان قد يفقد المريض الاتصال بالواقع، فيرى أشياء غير موجودة، وهو ما يُطلق عليه «الهلوسة البصرية».
. الشعور بالاكتئاب أو القلق أو ضعف الاهتمام بنواحي الحياة اليومية.
. اختلالات النوم كالأرق والنعاس أثناء النهار.
. الشعور بالإجهاد.
. فقدان القدرة على الشم.
. التهاب الجلد التحسسي الدهني.
كما سبق وأن ذكر الدكتور إسماعيل البابللي عددًا من فوائد شرب الزنجبيل.
وتحدث «البابللي»، خلال مقطع فيديو منشور عبر حسابه الشخصي بـ «تويتر»، عن فوائد الزنجبيل للدماغ والأعصاب الطرفية، استنادًا على نتائج بعض الدراسات العلمية.
وحدد «البابللي» 5 فوائد على وجه التحديد للزنجبيل، جاءت كالآتي:
. أثبتت الدراسات أن الزنجبيل يخفف دوار الحركة، خاصةً عند ركوب السيارة، لذلك يفضل أن يشرب من يعاني من هذه الحالة كوبًا منه قبل الركوب.
. أكدت دراسات أن الزنجبيل أفضل من أدوية كثيرة وقوية جدا تعالج الغثيان، والذي ينتج في بعض الأحيان من العلاجات الكيماوية.
. ذكرت دراسات أن الزنجبيل يوقف النوبات الشقيقة، وبالتالي سيكون ملاذًا لأناس لا يحبون العلاجات ويخافون من كثرتها.
. كذلك يخفف الزنجبيل حموضة المعدة، رغم مذاقه الحار.
. يعمل الزنجبيل على علاج جفاف الفم بتنشيط اللعاب، وتحسين إفرازاته.