

كشف بحث أمريكي نُشر مؤخرًا عن تأثيرات فيروس كورونا على الصحة الدماغية، لاسيما لدى المراهقين.
وأكد البحث الجديد أن أدمغة المراهقين الذين عايشوا عمليات الإغلاق المرتبطة بالفيروس ظهرت عليهم علامات الشيخوخة المبكرة، وفقاً لـ"العربية".
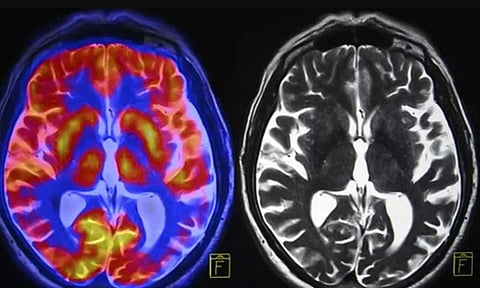
وقارن الباحثون فحوصات التصوير بالرنين المغناطيسي لأكثر من 80 شاباً قبل كورونا بسنوات وفي أثناء وبعد فيروس كورونا، فوجدوا أن التغيرات الجسدية في الدماغ التي حدثت خلال فترة المراهقة، مثل ترقّق القشرة ونمو الحُصين واللوزة، كانت أكبر في فترة ما بعد الإغلاق، مقارنةً بمجموعة ما قبل الجائحة، ما يشير إلى تسريع مثل هذه العمليات، بعبارة أخرى تقدّمت أدمغتهم بشكل أسرع.
فيما قال إيان جوتليب، أستاذ علم النفس بجامعة ستانفورد والمؤلف الأول للدراسة، إن النتائج تتوافق مع نتائج الباحثين الآخرين الذين يدرسون تأثير الوباء في الصحة العقلية للمراهقين.
وأضاف أن "التدهور في الصحة العقلية يترافق مع تغيرات جسدية في المخ لدى المراهقين، ويرجع ذلك على الأرجح إلى ضغوط الوباء".