

فيما يشبه «المعجزة»، نجح أطباء صينيون في إنقاذ طفل يبلغ من العمر عامًا واحدًا، من الموت المحقق بعدما اخترق قضيب حديدي جمجمته أثناء لهوه في فناء منزله.
ووفقًا لما ذكرته صحيفة «ديلي ميل» البريطانية، اليوم السبت، فقد انزلقت قدم الطفل وسقط إلى الخلف لكن رأسه اصطدمت بقضيب حديدي كان بارزًا من الأرض، فاخترق القضيب جمجمة الطفل الصغير.
وأضافت الصحيفة أنَّ والد الطفل لم يكن بعيدًا لذلك سمع صراخ نجله فهرع إليه على وجه السرعة ليجد ابنه في هذه الحالة الكارثية، فلم يجد مفرًا من قص القضيب وحمل الطفل إلى مستشفى جينان بمقاطعة شاندونج بشرق الصين.
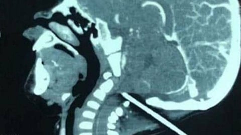
وفوجئ الأطباء برجل يحمل طفلًا وقضيبًا بارزًا من رأسه، وبفحصه بواسطة الأشعة تبيَّن أنَّ القضيب استقرَّ على مسافة ملليمترات معدودة من قاع الجمجمة والأوعية الدموية الحيوية التي تغذيها.
وأشارت الصحيفة البريطانية إلى أنهَّ تمَّ تشكيل فريق من جراحي المخ والأعصاب لإنقاذ حياة الطفل الذي ارتفعت حرارة جسده بشكل ملحوظ وأصبح في حالة خطرة، لكن بعدما تمكن الأطباء من إخراج القضيب الحديدي من رأسه تحسنت حالته كثيرًا.
اقرا ايضا